Web
予約

LINE
予約

目の症状について

まぶしい

角膜(=黒目)の傷のほか、目の中に炎症をおこすぶどう膜炎、目の中にある水晶体が混濁する白内障、硝子体(=目の中に詰まっているゼリー)の混濁などが原因となります。白内障ではかすみの症状のほか、このまぶしさが典型的な症状です。不便があれば手術による治療をお勧めいたします。ぶどう膜炎や硝子体の混濁は放置すると重篤な視覚障害を残すこともあり、早急な炎症の原因の検索と積極的な治療が必要です。

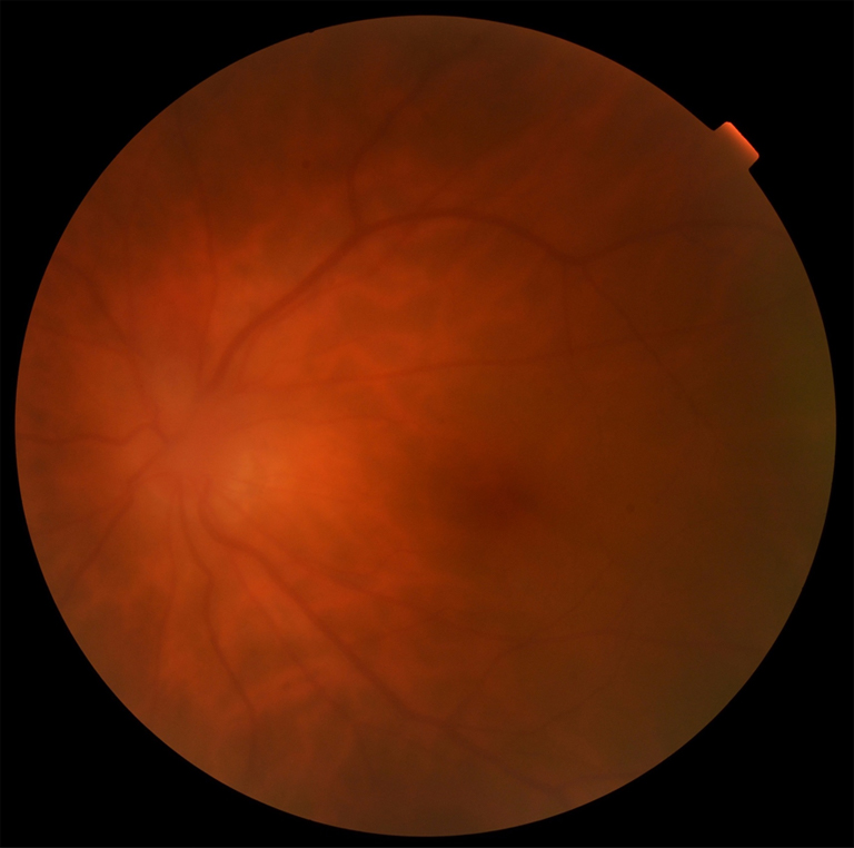
  • ベーチェット病による硝子体混濁がある目の眼底写真。
  • 治療後の眼底写真。眼底の網膜血管がきれいに確認できます。

進行した緑内障や急性緑内障発作でも視力低下をきたします。症状の改善や進行予防には薬物治療や手術治療が必要となります。