Web
予約
LINE
予約
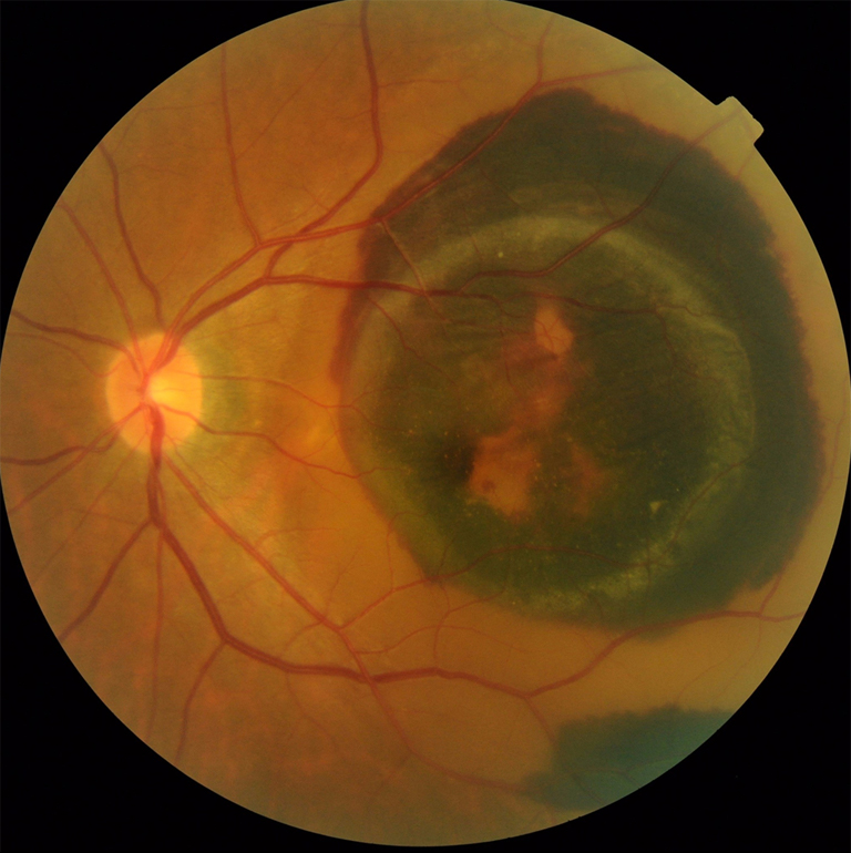
障子の桟や碁盤の目がゆがんでみえる症状を変視症と呼びます。変視症の原因のほとんどは目の中のの網膜の病気です。網膜は目の内側の壁紙であり、カメラで例えるとフイルムの役割をしています。白内障のように交換して直すことができないので、大事に直して使わないといけません。網膜の中心を黄斑と呼びますが、黄斑部の病気は重篤で、治療後も後遺症を残すことが多いため、症状に気が付いたら早急に検査・治療を行うことをお勧めします。



加齢黄斑変性症の眼底写真。黄斑に赤黒く分厚い出血を認めます。
黄斑円孔の光干渉断層計(OCT)写真。黄斑の中心に穴が開いているのが分かります。早急な手術による治療が必要です。網膜の断層を観察できるOCTは網膜の診療には不可欠です。